PATIENT TESTIMONIALS
Trusted Dental Care of Rialto: Patient Testimonials
Welcome to our testimonials page, where real patients share their experiences with Dental Care of Rialto. Dr. Carmy and our caring team proudly serve Rialto, San Bernardino, Rancho Cucamonga, Riverside, and Fontana with high-quality dental care—including cosmetic, implant, and restorative services. Explore the stories, reviews, and smile transformations that speak for themselves.
Our Happy Clients!
“Love the service after my treatment walk out. Not feeling any pain. Doctors and nurses were very caring and explained everything they were doing. Really think that anyone looking for a great dentist would love to come to this office for their dental care”
“I always have a great experience at Dental Care of Rialto. The staff is incredibly friendly and welcoming, and they remember me each time I visit. It makes me feel comfortable and well cared for. I truly appreciate the positive atmosphere.”
“They are so professional and fast. They also accept IEHP Medi-Cal. The facility is extremely clean and high end 10 out of 10 recommend to anybody looking for a dentist very knowledgeable as well. Great staff! Found my new dentist for the whole family!”
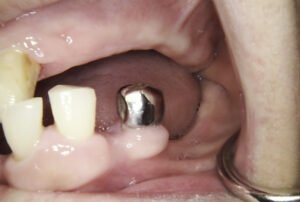
“Today I had an implant done. They pulled my tooth and it wasn’t a bad experience at all. The doctor and the nurse were very good and talking to me as they were doing the procedure letting me know everything was going good each step of the way. They are very gentle here and wonderful in all of the work they do. I would highly recommend them to anyone needing Dental Care”
“This is not the 1st time here and we will continue to return. I highly recommend this dental office. Everyone is always so nice and friendly from when we walk in and all thought out our visit. Arely was great making my son feel at ease and explaining everything as she proceeded with every step of my son’s dental cleaning. Thank you to everyone here at Dental Care of Rialto!”
“I have been coming here for the past 3 years and the service is always excellent. The staff and dentist doctor are always super friendly which is a plus for me. Today visit was easy peasy and Aracely and the doctor were super friendly and helpful and informative with any questions I had. If you’re looking for great service and quality work you must come here. I highly recommend it.”
“I went in for a check-up and to inquire about future dental work. Arely was incredibly knowledgeable, taking the time to answer all my questions and making me feel completely at ease. While there are many dental offices in Rialto, this one truly stands out as excellent. Thank you, Dental care of Rialto!”
“Got an implant for half the price. And the work is exquisite. Plenty of follow up. Always on time. Every worker is kind and caring. I’m telling all my family and friends to come here”
“Great dental care provided! New patient coming from the city of Riverside, in which my previous dentist of 15yrs possibly retired. Looking forward to bringing in my children during spring break! Dental equipment is highly advanced here. Xrays were a breeze! Came in for a checkup & left fully satisfied with the care provided. Great office, extremely friendly staff, thats seems to definitely want to get to know their patients! Couldn’t be more relieved to find our new family dentist!”
“Was really amazing watching Dr Carmy Michael treating a member of my family extracting a broken molar crown and carefully extracting the underline three roots and refill with patient bone graft while leaving the middle bone structure untouched to home an implant base all in same session without stitches nor pain meds, very clean , professional and highly recommended as client focused DDS and very grateful patient”
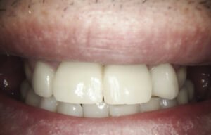
“I recently had the pleasure of being treated at Dental Care of Rialto by Dr Michael and I couldn’t be more satisfied with the experience. The quality of care I received was truly exceptional — my dental implants were fitted with incredible precision and attention to detail. The results speak for themselves: not only do they look and feel natural, but the entire process was smooth and comfortable from start to finish.
The clinic itself is modern, spotless, and beautifully designed, creating a calm and welcoming atmosphere from the moment you walk in. The staff are incredibly professional, courteous, and clearly committed to the highest standards of patient care. Every step of my treatment was explained clearly, and I always felt in safe, capable hands.
Highly recommend to anyone looking for top-tier dental work and a clinic that truly puts patients first.”
Personalized All-On-4 & Full Mouth Dental Implants in Rialto
Testimonials, Smile Restorations & More!



“I can finally smile with confidence again!”
“After years of struggling with dentures, Dr. Carmy Michael recommended a full set of implants. The process was smooth, and I felt cared for every step of the way. Now I can eat, talk, and laugh without hesitation. Thank you, Dental Care of Rialto!
Elizabeth from Anaheim, CA




“Dr. Michael is a true artist.”
“I was nervous about getting dental implants, but Dr. Michael and his team made the entire experience stress-free. My smile looks natural, and the results exceeded my expectations. I only wish I had done it sooner.”
Nhung from San Jose, CA













“The best investment I’ve ever made in myself.”
“Dr. Michael explained everything clearly and made me feel at ease. His attention to detail and compassion were exceptional. My implants feel like real teeth, and the transformation has been life-changing.”




“From no hope to a full smile.”
“I had severe bone loss and was told by others that implants weren’t possible. Dr. Michael used advanced grafting techniques and gave me a full-arch solution that looks amazing. I get compliments all the time.”
G. Heragreda from San Bernardino, CA
Ready To Transform Your Smile?
Give us a call to schedule your FREE dental implant consultation!
